Book Book Appointment Pay Pay Now Forms Download Our Forms Like Us Like us on Facebook Reviews Read Our Reviews Call Give us a Call Map View our Map Patient View our Patient Portal

Smile Stories in Metairie

Smile Story Before Before
Smile Story After After

You may have heard of Invisalign, which means you may already know that it's an excellent option for straightening your teeth. But, it's one thing to see an Invisalign commercial on TV versus seeing the results and experiences of an actual patient. Click the video below to hear about Sarah's Invisalign experience with Nelson Dental Care!

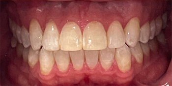
Smile Story Before Before
Smile Story After After

We love it when a plan comes together. With this patient, Dr. Nelson utilized a combination of whitening, Invisalign and cosmetic bonding. While this smile makeover took some time, it was definitely worth it in the end!

Smile Story Before Before
Smile Story After After

Smile Story Before Before
Smile Story After After

More to Explore

About Our Practice Meet Dr. Nelson View Our Services